文献分享:Advanced Science | 人多能干细胞来源的内皮细胞修复脉络膜缺血

光与生命实验室 2024年01月24日 15:10
图片

研究背景:

    脉络膜脉管系统的主要功能是为视网膜提供营养和氧气。脉络膜由四层结构组成,从最外层到最内层依次为:脉络膜上层(suprachoroidea)、大血管层(large-vessel layer)、中间血管层(intermediate-vessel layer)和脉络膜毛细血管(choriocapillaris)。视网膜色素上皮细胞(RPE)和脉络膜之间的代谢物和氧交换对RPE的存活至关重要。RPE细胞的缺失往往与脉络膜萎缩同时发生。脉络膜变薄是脉络膜病理变化的标志,与脉络膜新生血管和其他神经退行性疾病有关:脉络膜毛细血管发炎,导致葡萄膜炎和点状内脉络膜病变;遗传性疾病包括脉络膜血症、视网膜色素变性等也会表现为脉络膜变薄和炎症;脉络膜变薄或变性会阻止生物分子的充分交换,导致年龄相关性黄斑变性(AMD)和近视的恶化。人类多能干细胞(hPSC)可以分化成多种眼睛细胞类型,如RPE,hPSC-RPE移植治疗AMD的临床试验正在全球进行,并已被证明是安全的,可以抑制AMD的进展。


科学问题:

    由于脉络膜病变在视网膜病变中很常见,那么hPSC 分化的内皮细胞(EC)是否可以修复脉络膜脉管系统并抑制脉络膜萎缩,进而可以防止眼部神经退行性变?


内容简述:

    作者首先验证了人类多能干细胞hPSC可以分化成脉络膜类似的内皮细胞(表达脉络膜内皮细胞特异性标记物:CD31、CA4、RGCC、PV-1),可用于移植研究。并且构建了一种与人类脉络膜病理变化相似的大鼠脉络膜缺血动物模型(图1)。

图片

图1 大鼠脉络膜缺血(CI)模型与人类脉络膜病理变化相似


    为了探究hPSC-ECs如何对缺血性脉络膜做出反应,作者取出大鼠脉络膜/巩膜复合体,并添加了人类ECs与它们共培养(图2A)。共培养48小时后,对单独的脉络膜和脉络膜加 hPSC-EC 共培养物进行清洗、固定,并用人和大鼠特异性CD34、人类特异性CD31进行染色,结果显示未共培养的脉络膜血管的CD34信号明显减少。这种现象表明脉络膜失去血液供应会导致萎缩。共培养的脉络膜血管则高表达人特异性的CD31,表明分化的人EC与大鼠脉络膜血管存在的一定整合。对与脉络膜血管共培养前后的hPSC-ECs进行单细胞测序,可以看到共培养的hPSC-EC群体与分化的未共培养的 EC能明显区分开来(图2D),并且共培养后的EC明显上调了对氧水平降低的反应、血管发育的调控、细胞连接组装和细胞迁移等过程。这些结果表明,共培养的EC对体外缺血脉络膜有反应,会加强它们的内皮命运,提高血管生成、免疫调节和神经保护基因的表达,这些基因可能会重新构成脉络膜缺血的微环境。

图片

图2  hPSC-ECs 在体外缺血脉络膜上表达血管生成、免疫调节和神经保护基因


    为了进一步确认分化的人EC细胞的功能,作者进行了体内移植实验。包括三个处理组:注射 hPSC-EC 组、未注射组和注射EC培养液组。由于大鼠CI(choroidal ischemia,脉络膜出血)模型在注射 NaIO3 后第7天就显示出血管密度明显降低,因此作者在这个时间点将hPSC-EC移植到脉络膜上腔,在移植后7、14、30、60和90天进行了各种分析。

    为了确认CI眼睛中确实存在移植的人类EC,作者首先移植了H2B-mCherry EC,移植14天后将视网膜和RCS复合物进行了流式分选,在移植了hPSC-EC的眼球中,mCherry阳性的细胞可被分离成一个小而可辨的群体,约占解离细胞总数的 0.51%。对移植后脉络膜进行染色可以看到,人特异性的CD31信号和人鼠的CD34信号都有明显的管状结构,而未注射或注射介质的大鼠CI脉络膜没有hCD31信号(图 3D),表明hPSC-EC与大鼠脉络膜血管网络整合。

图片

图3 hPSC-EC 移植到 CI 模型后与大鼠脉络膜脉管系统整合


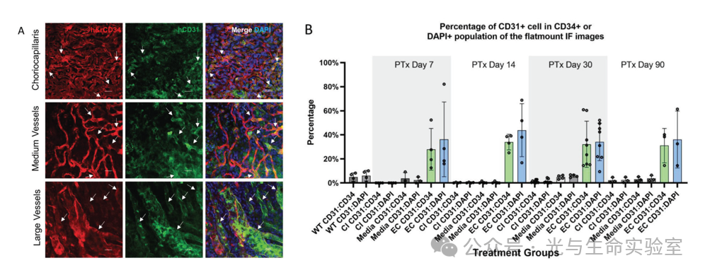
    在对脉络膜血管的不同血管层进行观察后,可以看到,脉络膜的毛细血管层、中层和大血管层都能发现强hCD31表达的HPSC-EC(图 4A)。对hCD31+细胞定量表明,视野中约有30-40%的细胞标记了hCD31+(图 4B),这进一步证实它们与大鼠EC形成了嵌合血管。

图片

图4 hPSC-ECs整合到大鼠脉络膜的所有层中并形成嵌合血管


    接下来,作者对注射或未注射 hPSC-EC 的眼睛进行了FA/ICGA(眼底血管造影)检查。在移植了EC的眼睛中,缺血区域的脉络膜层出现了新生血管的迹象,表层视网膜血管保持完好(图5A)。并且确认移植了EC的眼睛的任何FA/ICGA图像中都没有发现血管渗漏或渗出性脉络膜新生血管。新生血管早在第 7 天就已出现,并在 90 天内逐渐增加密度和长度(图 5A)。

图片

图5 HPSC-EC移植后CI大鼠缺血区域的脉络膜层出现了新生血管


    最后,作者使用视网膜电图(ERG)评估了移植后30天EC对视网膜功能的影响。野生型(WT)大鼠和 CI 模型大鼠的 ERG 图显示,注射 NaIO3 后视网膜活动明显降低。在 CI 模型中,a 波和 b 波的振幅下降。而将 EC 移植到脉络膜后,可以观察到暗适应 0.01 ERG 反应有相当大的改善。由于啮齿动物的光感受器主要由杆细胞组成,因此观察到的暗适应ERG增强标志着移植hPSC-ECs后的视觉能力修复的结果。这些发现为通过修复内皮细胞解决脉络膜缺血引起的视网膜功能障碍提供了一种潜在的治疗方法,为未来视力恢复的临床应用提供了广阔的前景。

图片

图6 HPSC-EC移植后恢复大鼠CI模型的视觉功能


启示:

    hPSC-ECs可以修复动物模型中的脉络膜缺血,为缓解与干性AMD、病理性近视和其他眼部疾病有关的脉络膜萎缩提供一个新的疗法。


作者简介:

图片


胡运韬,清华大学附属北京清华长庚医院眼科主任

研究方向:眼底病与眼外伤临床研究,电子视网膜人工视觉,视网膜细胞移植与干细胞,活体视神经示踪技术,糖尿病眼病防盲等。


图片


那洁,清华大学医学院副教授

研究方向:应用干细胞和类器官构建人类疾病模型和再生医学研究


原文索引:https://onlinelibrary.wiley.com/doi/full/10.1002/advs.202302940

注:本文仅为作者个人解读,如有纰漏,请参考原文。

撰文:孙永佳

审核:童大力

编辑:成美君

图片

+  欢迎订阅!+✦

微信扫一扫
关注该公众号