文献分享46:Nature | 通过动态调节神经递质的释放适应光周期变化

XueLab 光与生命实验室 2024年08月30日 17:26




图片

研究背景:

    动物的生存离不开光线,地球的自转带来了昼夜的更替,公转带来了季节的轮回。能够快速的适应地球的光周期变化对于动物来说至关重要。为此,动物已经进化出一整套适应机制被称之为光授时。光线通过视网膜上的自感光神经节细胞传递到节律中枢视交叉上核(SCN, suprachiasmatic nucleus)。但是我们对于动物适应季节性光照变化的分子和环路机制还还知之甚少。

    中缝核(MRN, median raphe nucleus)包含大量五羟色胺神经元,可以投射到SCN调控昼夜节律。在之前的工作中,作者发现MRN区的五羟色胺能神经元特异性表达基因En1和Pet1。同时这一群神经元还表达Vglut3(囊泡谷氨酸转运体3)。但是这一神经递质参与的功能还不清楚。


科学问题:

    动物如何适应光周期变化?


内容简述:

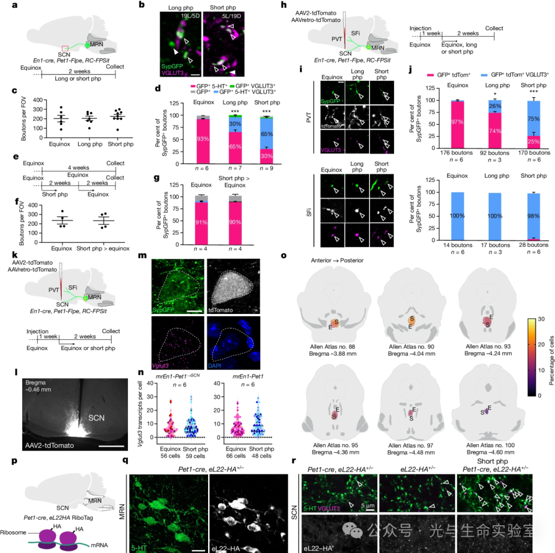
    将En1-cre;Pet1-flp动物和FRT-Loxp-eGFP/SypGFP小鼠杂交,在MRN可见eGFP信号,同时胞体与vglut3共标(图1c-f);在SCN可见Syp-GFP信号,但是却没有vglut3信号(图1h-j)。在SCN注射Retro-tdtomato后,MRN区表达tdtomto的神经元中86%表达vglut3(图1o)。这也就说明在正常情况下MRN只向SCN输入五羟色胺。

图片

图1 mrEn1-Pet1胞体含有5-HT和vglut3,但在支配SCN的突触bouton中仅检测到 5-羟色胺。


    先前的工作发现季节性光照可以重塑SCN内的神经递质释放动态,进一步影响动物的行为。所以作者就将动物转换到长日照和短日照模式下饲养,然后再检测支配SCN的突出末梢是否有vglut3。结果发现当把动物放置于长日照模式下30%的bouton可以检测到vglut3,在短日照模式下,65%的bouton可以检测到vglut3(图2a-d)。如果再将动物放置于正常等长的光明暗环境中饲养两周,SCN中的末梢再次检测不到vglut3,说明这一过程是可逆的(图2e-g)。为什么在季节性光暗转换时,vglut3在支配SCN的末梢中会增加呢?这种变化可能是因为Vglut3基因转录变化或者是被转运的mRNA的局部翻译或翻译后蛋白质转运。所以作者进一步检测了光周期变化前后MRN的神经元vglut3转录水平,发现并没有差异(图2n)。同时也没有发现支配SCN的末梢有核糖体(图2p-r)。所以大概率是vglut3在光周期转换时被转运到支配SCN的神经元末梢。

图片

图2 mrEn1-Pet1中的vglut3在季节性光周期转换时动态释放并可逆调节。


    为了进一步验证在季节性光周期转换时MRN释放vglut3到SCN的作用,作者敲除了MRN中的vglut3,发现正常情况下小鼠需要15天适应新的短光照周期,但是敲除组小鼠需要25天(图3)。

图片

图3 敲除vglut3延迟了动物对光周期变化的适应。


    进一步检测动物的睡眠觉醒转换可以发现敲除vglut3之后动物需要更久才能适应短日照模式(图4)。

图片

图4 敲除vglut3破坏了光周期变化时动物的睡眠觉醒时间的调整。


    为了进一步探索MRN的对于光周期的响应来源,作者对于MRN上游进行了示踪,发现MRN主要接受POA(下丘脑视前区)、LH(下丘脑外侧区)、LHb(外侧僵核)和VTA(中脑腹侧被盖区)输入,其中POA,LH,LHb均直接接受光输入(图5)

图片

图5 输入到mrEn1-Pet1神经元的全脑投射。


    作者分别阻断POA/LH/LHb到MRN的输入,发现只有阻断POA到MRN的输入小鼠的光周期转换适应能力受损,需要更久才能适应新的光周期(图6)。

图片

图6 投射到 MRN的POA神经元传递光周期信号并调节对光周期变化的适应。


总结:

    本文确定了一条新的POA→MRN En1-Pet1→SCN的神经环路,对于动物适应光周期变化至关重要。MRN En1-Pet1神经元随着光周期的变化动态释放vglut3来促进动物的适应。这项工作有可能为以昼夜节律和睡眠时间紊乱为特征的疾病的治疗干预提供新的可能。


作者简介:

Susan M. Dymecki

哈佛大学医学院

    主要研究大脑五羟色胺能神经元系统,并结合基因组、转录组、电生理和行为学分析研究五羟色胺神经元如何动态控制从呼吸、热平衡、情绪状态到动物行为等各种过程。


图片

原文链接:https://doi.org/10.1038/s41586-024-07692-7

注:本文仅为作者个人解读,如有纰漏,请参照原文。

撰文:赵航

审核:刘嵘

编辑:成美君

微信扫一扫
关注该公众号